CABINET DENTAIRE DU DOCTEUR POVEROMO
Implantologie, Parodontologie, Dentisterie Esthétique
4 Place du Luxembourg, 57100 THIONVILLE
+33 3 82 53 71 18
CABINET DENTAIRE DU DOCTEUR POVEROMO
Implantologie, Parodontologie, Dentisterie Esthétique

Blog - Page 5

CONSEILS AVANT UNE INTERVENTION CHIRURGICALE DENTAIRE

CONSEILS AVANT UNE INTERVENTION CHIRURGICALE DENTAIRE

La bonne préparation d’une intervention dentaire vous permettra d’en obtenir les meilleurs résultats avec un minimum de désagréments.

Comblement de sinus par voie latérale et implantation simultanée

Comblement de sinus par voie latérale et implantation simultanée

Le traitement de la parodontite par ultrasons

Le traitement de la parodontite par ultrasons

Le mouvement normal de l’articulation temporo-mandibulaire

Le mouvement normal de l’articulation temporo-mandibulaire

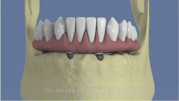
Mandibule complète et traitement implantaire pour un bridge fixe vissé

Mandibule complète et traitement implantaire pour un bridge fixe vissé

Comment bien utiliser la brossette interdentaire ?

Comment bien utiliser la brossette interdentaire ?

Affichage des articles 25-30 sur 205

Création par Webdentiste

Connexion